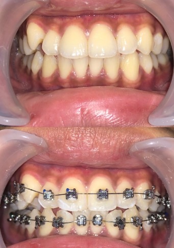
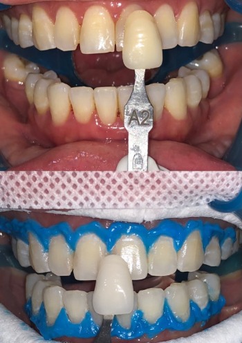
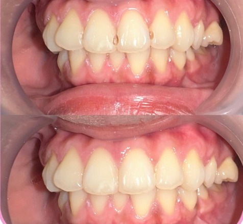
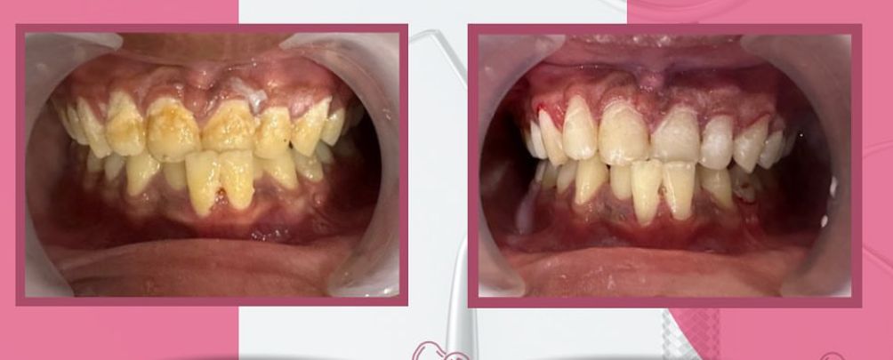
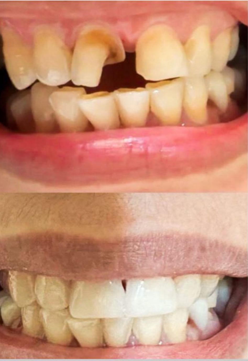
Layanan Profesional

Pilihan Layanan Kami

Temukan layanan terbaik yang kami sediakan untuk kesehatan gigi Anda